
L’ortodonzia intercettiva è quella branca che si occupa di prevenire malocclusioni o ridurne la gravità nel corso dello sviluppo di un bambino.
Per ridurre gravi affollamenti, aiutando l’eruzione dentale
La durata solitamente è di un anno e mezzo
Qualche fastidio i primi giorni

L’ortodonzia funzionale e/o ortopedica, che si usa in pazienti in crescita (dentizione mista), avvalendosi delle stesse forze muscolari o agendo direttamente sulle basi ossee, guida lo sviluppo del mascellare e della mandibola favorendone il corretto posizionamento dei denti.
La ragione di un pronto intervento sulla malocclusione, su un palato stretto o su una protusione mascellare e così via, ha come obiettivo quello di aumentare le probabilità di successo nel corso della crescita e dello sviluppo.
Il nostro studio odontoiatrico di Roma è specializzato nell’ortodonzia pediatrica. L’ortodonzia pediatrica o infantile viene chiamata anche ortodonzia intercettiva L’ortodonzia è quella branca dell’odontoiatria che si occupa fondamentalmente dello studio, della diagnosi e del trattamento relativo alla posizione anomala di uno o più elementi dentali. In genere tali anomalie cominciano ad insorgere nei primi anni di vita: una diagnosi precoce può permettere di correggere o contrastare qualunque genere di disfunzione dentale prima che sopraggiunga l’età adulta.
I problemi di ortodonzia non vanno sottovalutati perché le conseguenze non sono soltanto di natura estetica ma possono incidere anche su fattori come la respirazione, la masticazione e la fonazione.
Nei nostri studi dentistici a Roma si presta molta attenzione alla cura dentale dei bambini. Per questo consigliamo ai genitori di non aspettare troppo per portare i loro figli a fare un controllo dall’odontoiatra, ma di cominciare già intorno ai 4-6 anni.
I trattamenti che abitualmente eseguiamo sui nostri piccoli pazienti possono essere racchiusi in 3 branche essenziali:
In questa pagina illustriamo i trattamenti tipici dell’ortodonzia pediatrica (intercettiva e convenzionale).
L’ortodonzia intercettiva, interviene durante la fase di crescita dei bambini dove, accanto ai denti da latte stanno fuoriuscendo quelli permanenti. Ha dunque come obiettivo primario quello di intervenire sulla crescita delle osse mandibolari e mascellari, comprimendole o aumentandone il volume. Avere il giusto spazio nella mandibola aiuterà la successiva fuoriuscita di denti permanenti in posizione corretta.
È possibile che, una volta sostituiti i denti decidui e che il piccolo paziente sia stato sottoposto ai trattamenti di ortodonzia intercettiva, debba comunque fare uso di un apparecchio ortodontico convenzionale. In questo caso si parla, non più di ortodonzia intercettiva, bensì di ortodonzia correttiva in quanto l’obiettivo primario sarà quello di correggere il posizionamento dei denti (ormai permanenti). I trattamenti tipici dell’ortodonzia correttiva vengono iniziati intorno ai 12 anni, età in cui i denti permanenti saranno usciti.
Nei nostri studi siamo dotati di apparecchiature all’avanguardia in grado di curare diverse tipologie di inestetismi e di difetti dentali. Per esempio, laddove è necessario riallineare i denti mal posizionati applichiamo, a seconda dei casi, sia apparecchi fissi che mobili. Nel caso degli apparecchi fissi possiamo applicarli sia sulla superficie esterna dei denti che su quella interna. In quest’ultimo caso verso la lingua e il palato così da non compromettere l’estetica del sorriso.
Tra gli apparecchi indicati per trattare le problematiche dei piccoli pazienti rientrano apparecchi fissi e mobili.
Nello specifico tra gli apparecchi fissi elenchiamo:
Gli apparecchi mobili sono contemplati in diverse situazioni. Alcune tra queste sono: impedire che il bimbo si succhi il pollice, estendere il palato.
Dopo un attento studio e una diagnosi precisa siamo in grado di applicare un apparecchio su misura che sarà in grado di risolvere definitivamente difetti estetici e funzionali. Attraverso l’ortodonzia visibile o invisibile è possibile intervenire e correggere qualunque malformazione mascellare, così come le alterazioni legate alla crescita e allo sviluppo mandibolare al fine di prevenire o risolvere problemi di malocclusione. La durata del trattamento, premettendo che ogni bambino è un individuo a sé stante e a seconda della natura del problema, se si seguono le indicazioni date dal dentista e lo si indossa correttamente e per i tempi necessari, può andare da circa 6 mesi sino a un anno e mezzo per sanare il difetto; questo nella maggioranza dei casi.

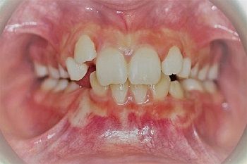
Al fine di fare una diagnosi accurata del disturbo è indispensabile effettuare una lettura intra-orale nella bocca del bambino. Per esempio, per appurare che sussista realmente un problema di malocclusione è necessario verificare che ci siano segni evidenti. In genere problemi legati alla malocclusione mostrano la presenza di un morso crociato posteriore e infiammazione dei tessuti molli.
Il passo successivo è passare in rassegna i tessuti duri attraverso due esami fondamentali:
L’ortodonzia dei bambini richiede molta attenzione ed esperienza in quanto si basa soprattutto sull’osservazione di piccoli segnali prodotti dalla patologia o dalla malformazione che, nel caso dei piccoli, si trova in uno stadio embrionale. L’ortodontista pediatrico specializzato deve quindi saper leggere i segnali al fine di stabilire quali esami è il caso di effettuare sul bambino e quali trattamenti sono i più indicati al caso specifico.
Nei nostri studi troverete personale qualificato e strumentazione all’avanguardia per trattare ogni genere di problema legato all’ortodonzia infantile.
Un dentista specializzato può individuare per tempo una crescita anomala sia dei denti che della mascella. I bambini potrebbero presentare difficoltà nella masticazione o semplicemente nel mordere un cibo. Potrebbero respirare soltanto con la bocca o avere difficoltà nel pronunciare in modo corrette suoni o parole. Potrebbero mostrare un affollamento o sovrapposizioni nei denti, la situazione più evidente all’occhio di un dentista; oppure un spazio eccessivo tra un dente e l’altro.
L’ortodonzia intercettiva interviene proprio con l’obiettivo di sanare queste disfunzioni, infatti ci se ne serve per trattare i seguenti problemi:
Prevenire è meglio di curare, questa è l’ottica della prevenzione e dei trattamenti che riserviamo ai nostri pazienti, piccoli e grandi.
Stai cercando uno studio di ortodonzia pediatrica a Roma per il tuo bambino o bambina? Il nostro centro dentistico è specializzato per vari tipi di trattamenti e saremo felici di prevenire o curare qualsiasi tipo di problema possa avere il tuo figlio o figlia. Scegliere un centro di ortodonzia pediatrica a Roma non è facile, perché sicuramente vorrai il meglio per garantire la salute dentale del tuo bambino. Noi garantiamo di essere più che adatti per prendercene cura. Vieni a trovarci a Via Guido de Ruggiero, 71, 00142
L’ortodonzia ortopedica rappresenta una delle branche più importanti dell’ortodonzia pediatrica, in quanto agisce direttamente sulle basi ossee del viso, con l’obiettivo di correggere precocemente anomalie scheletriche prima che diventino irreversibili. È particolarmente indicata nei bambini durante la fase di crescita attiva, solitamente tra i 5 e i 10 anni, periodo in cui l’organismo risponde in modo più efficace agli stimoli meccanici imposti dagli apparecchi ortopedici.
A differenza dell’ortodonzia correttiva, che si concentra sul riallineamento dei denti permanenti, l’ortodonzia ortopedica lavora in profondità sul mascellare e sulla mandibola. I dispositivi ortopedici utilizzati – come espansori rapidi del palato, apparecchi funzionali mobili e maschere facciali – servono per guidare la crescita ossea ed armonizzare il profilo del viso. Uno dei vantaggi principali dell’approccio ortopedico precoce è la possibilità di evitare, in età più avanzata, interventi ortodontici complessi o addirittura chirurgici.
Un palato troppo stretto, una mandibola arretrata o un’eccessiva sporgenza dell’arcata superiore traggono grande beneficio da un trattamento ortopedico mirato. Intervenire in questa fase aiuta anche a migliorare la funzione respiratoria, favorendo una corretta ventilazione nasale e prevenendo problemi come il russamento notturno o la respirazione orale cronica.
Il costo dell’ortodonzia nei bambini varia a seconda della tipologia di trattamento, della durata e della complessità del caso. In linea generale, per un trattamento intercettivo si possono spendere dai 1.000 ai 2.500 euro, mentre per un’ortodonzia ortopedica e/o correttiva più avanzata i costi possono salire fino a 3.500 o 4.000 euro.
Ogni piano di trattamento viene personalizzato dopo una diagnosi accurata, che solitamente comprende visite preliminari, ortopanoramica e teleradiografie, per un costo iniziale tra 100 e 300 euro.
Trattamento | Prezzo medio
Visite preliminari, ortopanoramica e teleradiografie | 100 – 300 €
Trattamento intercettivo | 1.000 – 2.500 €
Ortodonzia ortopedica e/o correttiva avanzata | fino a 3.500 – 4.000 €
Avviare un trattamento intercettivo precoce può ridurre la necessità di interventi futuri, con vantaggi economici e clinici. La prevenzione permette di migliorare la salute del piccolo paziente e contenere i costi di eventuali terapie complesse in età adolescenziale o adulta.
“A che età dovrei portare mio figlio dal dentista per valutare se ha bisogno dell’apparecchio?”. È una delle domande più frequenti tra i genitori. Gli specialisti consigliano che il primo controllo ortodontico avvenga intorno ai 4-6 anni, periodo ideale per individuare precocemente disallineamenti, malocclusioni o disfunzioni scheletriche.
Un intervento tempestivo non significa iniziare subito una terapia, ma consente di monitorare lo sviluppo cranio-facciale e pianificare un trattamento al momento più opportuno. Bambini con abitudini viziate (suzione del pollice, respiro orale, difficoltà nel parlare) sono candidati ideali per una valutazione precoce.
Anche in assenza di sintomi evidenti, è raccomandata una prima visita ortodontica prima dei 7 anni, quando la dentizione mista permette di intervenire in modo efficace sfruttando il potenziale di crescita delle ossa facciali.